v22 data release of IDC brings you 11 new collections and over 5TB of new freely available cancer imaging data! Data release summary is here, with the key highlights below.
Overall summary of v22
Files: 46,695,167 (+910,713)
Series: 965,407 (+14,519)
Studies: 159,593 (+10,016)
Cases: 79,214 (+8,132)
Collections: 161 (+11)
Analysis results collections: 17 (no change)
Disk size: 93.11 TB (+5.62 TB)
New collections
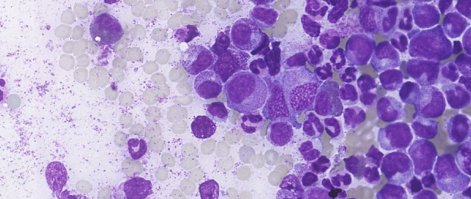
- BoneMarrowWSI-PediatricLeukemia contributed by Fraunhofer MEVIS offers digital slides of bone marrow aspirate smear for 246 pediatric cases (<18 years) of leukemia. Images are accompanied by clinical information and laboratory data. Cell-level annotations for a subset of these slides are scheduled to be added in the next data release! Check out one of the slides from this new collection here!
- 10 new collections from TCIA, including CBIS-DDSM, QIN-BREAST-02, and several phantom imaging collections. With this update IDC now includes all of the public DICOM collections from TCIA!
Updated collections
- 501 new digital slide added to the CCDI-MCI collection from the Childhood Cancer Data Initiative
- images for 411 new patients added to the Cancer Moonshot Biobank (CMB) collections
- new images added to the collections of the CPTAC and APOLLO programs
